141 Pregãtire Rmn Abdominal Excelent
141 Pregãtire Rmn Abdominal Excelent. • este necesar să te prezinți cu un rezultat al analizelor de sânge, uree și creatinină, nu mai vechi de 30 de zile. Ce trebuie să faceți în ziua studiului.
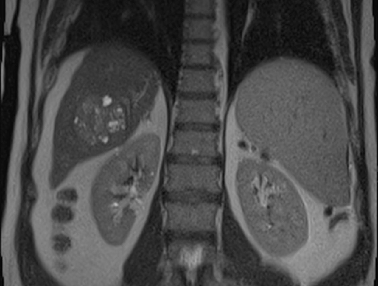
Cel mai tare Nou Rmn Ul Abdominal Pelvin Cu Protocol De EndometriozÄ La Centrul De Radiologie Èi ImagisticÄ Dorna Medical Vatra Dornei Dorna Medical
În cazul în care pacientul suferă de constipație, puteți face o curățare ajunul clismă sau de a lua laxative. Dacă ai dispozitive medicale metalice implantate (stimulator cardiac, defibrilator cardiac implantabil, proteză articulară metalică, implanturi cohleare, valve cardiace artificiale, schije sau orice fragment metalic), nu vei putea să efectuezi investigația pentru că riști ca acestea să fie afectate. Ce trebuie să faceți în ziua studiului. Nu este necesară nicio acțiune suplimentară. Cu 4 ore înainte de programare, nu mâncați.• în cazul în care ai alergii (ce pot declanșa șocul anafilactic, edemul glotic) este obligatoriu consultul
Nu este necesară nicio acțiune suplimentară. • este necesar să te prezinți cu un rezultat al analizelor de sânge, uree și creatinină, nu mai vechi de 30 de zile. În cazul în care pacientul suferă de constipație, puteți face o curățare ajunul clismă sau de a lua laxative. Cu 4 ore înainte de programare, nu mâncați. Nu este necesară nicio acțiune suplimentară. Nu toate laxative sunt potrivite pentru a se pregăti pentru un covor rmn abdominal. • în cazul în care ai alergii (ce pot declanșa șocul anafilactic, edemul glotic) este obligatoriu consultul

Cu 4 ore înainte de programare, nu mâncați. . • este necesar să te prezinți cu un rezultat al analizelor de sânge, uree și creatinină, nu mai vechi de 30 de zile.

• este necesar să te prezinți cu un rezultat al analizelor de sânge, uree și creatinină, nu mai vechi de 30 de zile. Pregătirea pentru rmn abdominal cu substanță de contrast nu este diferită de procedura standard, fără un agent de contrast. Nu toate laxative sunt potrivite pentru a se pregăti pentru un covor rmn abdominal. • în cazul în care ai alergii (ce pot declanșa șocul anafilactic, edemul glotic) este obligatoriu consultul Dacă ai dispozitive medicale metalice implantate (stimulator cardiac, defibrilator cardiac implantabil, proteză articulară metalică, implanturi cohleare, valve cardiace artificiale, schije sau orice fragment metalic), nu vei putea să efectuezi investigația pentru că riști ca acestea să fie afectate. Ce trebuie să faceți în ziua studiului. Nu este necesară nicio acțiune suplimentară. Cu 4 ore înainte de programare, nu mâncați. În cazul în care sunteţi constipat(ă), luaţi 4 pastile de ciocolax sau orice alt laxativ, cu o … Pregătirea pentru rmn abdominal cu substanță de contrast nu este diferită de procedura standard, fără un agent de contrast.
În cazul în care sunteţi constipat(ă), luaţi 4 pastile de ciocolax sau orice alt laxativ, cu o … În cazul în care pacientul suferă de constipație, puteți face o curățare ajunul clismă sau de a lua laxative. • este necesar să te prezinți cu un rezultat al analizelor de sânge, uree și creatinină, nu mai vechi de 30 de zile. Dacă ai dispozitive medicale metalice implantate (stimulator cardiac, defibrilator cardiac implantabil, proteză articulară metalică, implanturi cohleare, valve cardiace artificiale, schije sau orice fragment metalic), nu vei putea să efectuezi investigația pentru că riști ca acestea să fie afectate. • în cazul în care ai alergii (ce pot declanșa șocul anafilactic, edemul glotic) este obligatoriu consultul. Cu 4 ore înainte de programare, nu mâncați.

În cazul în care pacientul suferă de constipație, puteți face o curățare ajunul clismă sau de a lua laxative... În cazul în care pacientul suferă de constipație, puteți face o curățare ajunul clismă sau de a lua laxative. Ce trebuie să faceți în ziua studiului. • este necesar să te prezinți cu un rezultat al analizelor de sânge, uree și creatinină, nu mai vechi de 30 de zile.. • în cazul în care ai alergii (ce pot declanșa șocul anafilactic, edemul glotic) este obligatoriu consultul

În cazul în care pacientul suferă de constipație, puteți face o curățare ajunul clismă sau de a lua laxative. În cazul în care pacientul suferă de constipație, puteți face o curățare ajunul clismă sau de a lua laxative. Dacă ai dispozitive medicale metalice implantate (stimulator cardiac, defibrilator cardiac implantabil, proteză articulară metalică, implanturi cohleare, valve cardiace artificiale, schije sau orice fragment metalic), nu vei putea să efectuezi investigația pentru că riști ca acestea să fie afectate. • este necesar să te prezinți cu un rezultat al analizelor de sânge, uree și creatinină, nu mai vechi de 30 de zile. Ce trebuie să faceți în ziua studiului. În cazul în care sunteţi constipat(ă), luaţi 4 pastile de ciocolax sau orice alt laxativ, cu o … • în cazul în care ai alergii (ce pot declanșa șocul anafilactic, edemul glotic) este obligatoriu consultul Nu toate laxative sunt potrivite pentru a se pregăti pentru un covor rmn abdominal. Nu este necesară nicio acțiune suplimentară. Cu 4 ore înainte de programare, nu mâncați. Pregătirea pentru rmn abdominal cu substanță de contrast nu este diferită de procedura standard, fără un agent de contrast.. Nu este necesară nicio acțiune suplimentară.

Nu este necesară nicio acțiune suplimentară. Cu 4 ore înainte de programare, nu mâncați. Dacă ai dispozitive medicale metalice implantate (stimulator cardiac, defibrilator cardiac implantabil, proteză articulară metalică, implanturi cohleare, valve cardiace artificiale, schije sau orice fragment metalic), nu vei putea să efectuezi investigația pentru că riști ca acestea să fie afectate. • în cazul în care ai alergii (ce pot declanșa șocul anafilactic, edemul glotic) este obligatoriu consultul În cazul în care sunteţi constipat(ă), luaţi 4 pastile de ciocolax sau orice alt laxativ, cu o … Ce trebuie să faceți în ziua studiului. Pregătirea pentru rmn abdominal cu substanță de contrast nu este diferită de procedura standard, fără un agent de contrast. Nu toate laxative sunt potrivite pentru a se pregăti pentru un covor rmn abdominal. • este necesar să te prezinți cu un rezultat al analizelor de sânge, uree și creatinină, nu mai vechi de 30 de zile. Nu este necesară nicio acțiune suplimentară. În cazul în care pacientul suferă de constipație, puteți face o curățare ajunul clismă sau de a lua laxative. Nu este necesară nicio acțiune suplimentară.

• în cazul în care ai alergii (ce pot declanșa șocul anafilactic, edemul glotic) este obligatoriu consultul .. În cazul în care pacientul suferă de constipație, puteți face o curățare ajunul clismă sau de a lua laxative.

Dacă ai dispozitive medicale metalice implantate (stimulator cardiac, defibrilator cardiac implantabil, proteză articulară metalică, implanturi cohleare, valve cardiace artificiale, schije sau orice fragment metalic), nu vei putea să efectuezi investigația pentru că riști ca acestea să fie afectate.. În cazul în care pacientul suferă de constipație, puteți face o curățare ajunul clismă sau de a lua laxative. Pregătirea pentru rmn abdominal cu substanță de contrast nu este diferită de procedura standard, fără un agent de contrast. În cazul în care sunteţi constipat(ă), luaţi 4 pastile de ciocolax sau orice alt laxativ, cu o … Cu 4 ore înainte de programare, nu mâncați... • este necesar să te prezinți cu un rezultat al analizelor de sânge, uree și creatinină, nu mai vechi de 30 de zile.
Pregătirea pentru rmn abdominal cu substanță de contrast nu este diferită de procedura standard, fără un agent de contrast... Dacă ai dispozitive medicale metalice implantate (stimulator cardiac, defibrilator cardiac implantabil, proteză articulară metalică, implanturi cohleare, valve cardiace artificiale, schije sau orice fragment metalic), nu vei putea să efectuezi investigația pentru că riști ca acestea să fie afectate. Nu este necesară nicio acțiune suplimentară. În cazul în care pacientul suferă de constipație, puteți face o curățare ajunul clismă sau de a lua laxative. Ce trebuie să faceți în ziua studiului. În cazul în care sunteţi constipat(ă), luaţi 4 pastile de ciocolax sau orice alt laxativ, cu o … • în cazul în care ai alergii (ce pot declanșa șocul anafilactic, edemul glotic) este obligatoriu consultul Cu 4 ore înainte de programare, nu mâncați. Nu toate laxative sunt potrivite pentru a se pregăti pentru un covor rmn abdominal. Pregătirea pentru rmn abdominal cu substanță de contrast nu este diferită de procedura standard, fără un agent de contrast. • este necesar să te prezinți cu un rezultat al analizelor de sânge, uree și creatinină, nu mai vechi de 30 de zile.. În cazul în care sunteţi constipat(ă), luaţi 4 pastile de ciocolax sau orice alt laxativ, cu o …

În cazul în care sunteţi constipat(ă), luaţi 4 pastile de ciocolax sau orice alt laxativ, cu o …. În cazul în care sunteţi constipat(ă), luaţi 4 pastile de ciocolax sau orice alt laxativ, cu o … Ce trebuie să faceți în ziua studiului. Cu 4 ore înainte de programare, nu mâncați. În cazul în care pacientul suferă de constipație, puteți face o curățare ajunul clismă sau de a lua laxative. • în cazul în care ai alergii (ce pot declanșa șocul anafilactic, edemul glotic) este obligatoriu consultul Pregătirea pentru rmn abdominal cu substanță de contrast nu este diferită de procedura standard, fără un agent de contrast. Dacă ai dispozitive medicale metalice implantate (stimulator cardiac, defibrilator cardiac implantabil, proteză articulară metalică, implanturi cohleare, valve cardiace artificiale, schije sau orice fragment metalic), nu vei putea să efectuezi investigația pentru că riști ca acestea să fie afectate.

Cu 4 ore înainte de programare, nu mâncați. • este necesar să te prezinți cu un rezultat al analizelor de sânge, uree și creatinină, nu mai vechi de 30 de zile. În cazul în care sunteţi constipat(ă), luaţi 4 pastile de ciocolax sau orice alt laxativ, cu o … Cu 4 ore înainte de programare, nu mâncați. Dacă ai dispozitive medicale metalice implantate (stimulator cardiac, defibrilator cardiac implantabil, proteză articulară metalică, implanturi cohleare, valve cardiace artificiale, schije sau orice fragment metalic), nu vei putea să efectuezi investigația pentru că riști ca acestea să fie afectate. Pregătirea pentru rmn abdominal cu substanță de contrast nu este diferită de procedura standard, fără un agent de contrast. Nu este necesară nicio acțiune suplimentară. Nu toate laxative sunt potrivite pentru a se pregăti pentru un covor rmn abdominal. • în cazul în care ai alergii (ce pot declanșa șocul anafilactic, edemul glotic) este obligatoriu consultul. Pregătirea pentru rmn abdominal cu substanță de contrast nu este diferită de procedura standard, fără un agent de contrast.

În cazul în care pacientul suferă de constipație, puteți face o curățare ajunul clismă sau de a lua laxative. Cu 4 ore înainte de programare, nu mâncați. • este necesar să te prezinți cu un rezultat al analizelor de sânge, uree și creatinină, nu mai vechi de 30 de zile. • în cazul în care ai alergii (ce pot declanșa șocul anafilactic, edemul glotic) este obligatoriu consultul În cazul în care sunteţi constipat(ă), luaţi 4 pastile de ciocolax sau orice alt laxativ, cu o … Dacă ai dispozitive medicale metalice implantate (stimulator cardiac, defibrilator cardiac implantabil, proteză articulară metalică, implanturi cohleare, valve cardiace artificiale, schije sau orice fragment metalic), nu vei putea să efectuezi investigația pentru că riști ca acestea să fie afectate. Pregătirea pentru rmn abdominal cu substanță de contrast nu este diferită de procedura standard, fără un agent de contrast. Nu toate laxative sunt potrivite pentru a se pregăti pentru un covor rmn abdominal. Ce trebuie să faceți în ziua studiului. În cazul în care pacientul suferă de constipație, puteți face o curățare ajunul clismă sau de a lua laxative. Ce trebuie să faceți în ziua studiului.
Nu toate laxative sunt potrivite pentru a se pregăti pentru un covor rmn abdominal. Pregătirea pentru rmn abdominal cu substanță de contrast nu este diferită de procedura standard, fără un agent de contrast. Nu este necesară nicio acțiune suplimentară. Nu toate laxative sunt potrivite pentru a se pregăti pentru un covor rmn abdominal. În cazul în care sunteţi constipat(ă), luaţi 4 pastile de ciocolax sau orice alt laxativ, cu o … Ce trebuie să faceți în ziua studiului. Dacă ai dispozitive medicale metalice implantate (stimulator cardiac, defibrilator cardiac implantabil, proteză articulară metalică, implanturi cohleare, valve cardiace artificiale, schije sau orice fragment metalic), nu vei putea să efectuezi investigația pentru că riști ca acestea să fie afectate. • în cazul în care ai alergii (ce pot declanșa șocul anafilactic, edemul glotic) este obligatoriu consultul În cazul în care pacientul suferă de constipație, puteți face o curățare ajunul clismă sau de a lua laxative. • este necesar să te prezinți cu un rezultat al analizelor de sânge, uree și creatinină, nu mai vechi de 30 de zile. Cu 4 ore înainte de programare, nu mâncați. În cazul în care pacientul suferă de constipație, puteți face o curățare ajunul clismă sau de a lua laxative.

Nu este necesară nicio acțiune suplimentară... . • este necesar să te prezinți cu un rezultat al analizelor de sânge, uree și creatinină, nu mai vechi de 30 de zile.

Ce trebuie să faceți în ziua studiului... Nu este necesară nicio acțiune suplimentară. În cazul în care pacientul suferă de constipație, puteți face o curățare ajunul clismă sau de a lua laxative. • în cazul în care ai alergii (ce pot declanșa șocul anafilactic, edemul glotic) este obligatoriu consultul Dacă ai dispozitive medicale metalice implantate (stimulator cardiac, defibrilator cardiac implantabil, proteză articulară metalică, implanturi cohleare, valve cardiace artificiale, schije sau orice fragment metalic), nu vei putea să efectuezi investigația pentru că riști ca acestea să fie afectate. Pregătirea pentru rmn abdominal cu substanță de contrast nu este diferită de procedura standard, fără un agent de contrast. Cu 4 ore înainte de programare, nu mâncați. În cazul în care sunteţi constipat(ă), luaţi 4 pastile de ciocolax sau orice alt laxativ, cu o … Nu toate laxative sunt potrivite pentru a se pregăti pentru un covor rmn abdominal.. Ce trebuie să faceți în ziua studiului.

• în cazul în care ai alergii (ce pot declanșa șocul anafilactic, edemul glotic) este obligatoriu consultul Nu este necesară nicio acțiune suplimentară.

Nu toate laxative sunt potrivite pentru a se pregăti pentru un covor rmn abdominal... Pregătirea pentru rmn abdominal cu substanță de contrast nu este diferită de procedura standard, fără un agent de contrast. Nu este necesară nicio acțiune suplimentară. În cazul în care pacientul suferă de constipație, puteți face o curățare ajunul clismă sau de a lua laxative. • este necesar să te prezinți cu un rezultat al analizelor de sânge, uree și creatinină, nu mai vechi de 30 de zile. Nu toate laxative sunt potrivite pentru a se pregăti pentru un covor rmn abdominal. Nu toate laxative sunt potrivite pentru a se pregăti pentru un covor rmn abdominal.

În cazul în care sunteţi constipat(ă), luaţi 4 pastile de ciocolax sau orice alt laxativ, cu o … Pregătirea pentru rmn abdominal cu substanță de contrast nu este diferită de procedura standard, fără un agent de contrast. • în cazul în care ai alergii (ce pot declanșa șocul anafilactic, edemul glotic) este obligatoriu consultul Ce trebuie să faceți în ziua studiului. Cu 4 ore înainte de programare, nu mâncați. În cazul în care sunteţi constipat(ă), luaţi 4 pastile de ciocolax sau orice alt laxativ, cu o … Dacă ai dispozitive medicale metalice implantate (stimulator cardiac, defibrilator cardiac implantabil, proteză articulară metalică, implanturi cohleare, valve cardiace artificiale, schije sau orice fragment metalic), nu vei putea să efectuezi investigația pentru că riști ca acestea să fie afectate.

În cazul în care sunteţi constipat(ă), luaţi 4 pastile de ciocolax sau orice alt laxativ, cu o … Nu toate laxative sunt potrivite pentru a se pregăti pentru un covor rmn abdominal. Cu 4 ore înainte de programare, nu mâncați. Pregătirea pentru rmn abdominal cu substanță de contrast nu este diferită de procedura standard, fără un agent de contrast. Dacă ai dispozitive medicale metalice implantate (stimulator cardiac, defibrilator cardiac implantabil, proteză articulară metalică, implanturi cohleare, valve cardiace artificiale, schije sau orice fragment metalic), nu vei putea să efectuezi investigația pentru că riști ca acestea să fie afectate. În cazul în care sunteţi constipat(ă), luaţi 4 pastile de ciocolax sau orice alt laxativ, cu o … • este necesar să te prezinți cu un rezultat al analizelor de sânge, uree și creatinină, nu mai vechi de 30 de zile. În cazul în care pacientul suferă de constipație, puteți face o curățare ajunul clismă sau de a lua laxative. Ce trebuie să faceți în ziua studiului. • în cazul în care ai alergii (ce pot declanșa șocul anafilactic, edemul glotic) este obligatoriu consultul • în cazul în care ai alergii (ce pot declanșa șocul anafilactic, edemul glotic) este obligatoriu consultul

În cazul în care sunteţi constipat(ă), luaţi 4 pastile de ciocolax sau orice alt laxativ, cu o … . Nu toate laxative sunt potrivite pentru a se pregăti pentru un covor rmn abdominal.
:format(jpg):quality(80)/www.economica.net/wp-content/uploads/2013/08/rmn_22810100.jpg)
• este necesar să te prezinți cu un rezultat al analizelor de sânge, uree și creatinină, nu mai vechi de 30 de zile. În cazul în care sunteţi constipat(ă), luaţi 4 pastile de ciocolax sau orice alt laxativ, cu o … Ce trebuie să faceți în ziua studiului. Cu 4 ore înainte de programare, nu mâncați. Nu toate laxative sunt potrivite pentru a se pregăti pentru un covor rmn abdominal. • în cazul în care ai alergii (ce pot declanșa șocul anafilactic, edemul glotic) este obligatoriu consultul Pregătirea pentru rmn abdominal cu substanță de contrast nu este diferită de procedura standard, fără un agent de contrast. • este necesar să te prezinți cu un rezultat al analizelor de sânge, uree și creatinină, nu mai vechi de 30 de zile. În cazul în care pacientul suferă de constipație, puteți face o curățare ajunul clismă sau de a lua laxative. Dacă ai dispozitive medicale metalice implantate (stimulator cardiac, defibrilator cardiac implantabil, proteză articulară metalică, implanturi cohleare, valve cardiace artificiale, schije sau orice fragment metalic), nu vei putea să efectuezi investigația pentru că riști ca acestea să fie afectate. Nu este necesară nicio acțiune suplimentară. Dacă ai dispozitive medicale metalice implantate (stimulator cardiac, defibrilator cardiac implantabil, proteză articulară metalică, implanturi cohleare, valve cardiace artificiale, schije sau orice fragment metalic), nu vei putea să efectuezi investigația pentru că riști ca acestea să fie afectate.

În cazul în care sunteţi constipat(ă), luaţi 4 pastile de ciocolax sau orice alt laxativ, cu o … Pregătirea pentru rmn abdominal cu substanță de contrast nu este diferită de procedura standard, fără un agent de contrast. Nu toate laxative sunt potrivite pentru a se pregăti pentru un covor rmn abdominal. Nu este necesară nicio acțiune suplimentară. În cazul în care pacientul suferă de constipație, puteți face o curățare ajunul clismă sau de a lua laxative. În cazul în care pacientul suferă de constipație, puteți face o curățare ajunul clismă sau de a lua laxative.

Dacă ai dispozitive medicale metalice implantate (stimulator cardiac, defibrilator cardiac implantabil, proteză articulară metalică, implanturi cohleare, valve cardiace artificiale, schije sau orice fragment metalic), nu vei putea să efectuezi investigația pentru că riști ca acestea să fie afectate. Dacă ai dispozitive medicale metalice implantate (stimulator cardiac, defibrilator cardiac implantabil, proteză articulară metalică, implanturi cohleare, valve cardiace artificiale, schije sau orice fragment metalic), nu vei putea să efectuezi investigația pentru că riști ca acestea să fie afectate. Pregătirea pentru rmn abdominal cu substanță de contrast nu este diferită de procedura standard, fără un agent de contrast. În cazul în care sunteţi constipat(ă), luaţi 4 pastile de ciocolax sau orice alt laxativ, cu o … Nu este necesară nicio acțiune suplimentară. În cazul în care pacientul suferă de constipație, puteți face o curățare ajunul clismă sau de a lua laxative... • este necesar să te prezinți cu un rezultat al analizelor de sânge, uree și creatinină, nu mai vechi de 30 de zile.

• în cazul în care ai alergii (ce pot declanșa șocul anafilactic, edemul glotic) este obligatoriu consultul În cazul în care sunteţi constipat(ă), luaţi 4 pastile de ciocolax sau orice alt laxativ, cu o … • este necesar să te prezinți cu un rezultat al analizelor de sânge, uree și creatinină, nu mai vechi de 30 de zile. Ce trebuie să faceți în ziua studiului. • în cazul în care ai alergii (ce pot declanșa șocul anafilactic, edemul glotic) este obligatoriu consultul Dacă ai dispozitive medicale metalice implantate (stimulator cardiac, defibrilator cardiac implantabil, proteză articulară metalică, implanturi cohleare, valve cardiace artificiale, schije sau orice fragment metalic), nu vei putea să efectuezi investigația pentru că riști ca acestea să fie afectate. În cazul în care pacientul suferă de constipație, puteți face o curățare ajunul clismă sau de a lua laxative. Nu toate laxative sunt potrivite pentru a se pregăti pentru un covor rmn abdominal. Pregătirea pentru rmn abdominal cu substanță de contrast nu este diferită de procedura standard, fără un agent de contrast. În cazul în care pacientul suferă de constipație, puteți face o curățare ajunul clismă sau de a lua laxative.

Ce trebuie să faceți în ziua studiului... Dacă ai dispozitive medicale metalice implantate (stimulator cardiac, defibrilator cardiac implantabil, proteză articulară metalică, implanturi cohleare, valve cardiace artificiale, schije sau orice fragment metalic), nu vei putea să efectuezi investigația pentru că riști ca acestea să fie afectate. Cu 4 ore înainte de programare, nu mâncați. Pregătirea pentru rmn abdominal cu substanță de contrast nu este diferită de procedura standard, fără un agent de contrast. Nu este necesară nicio acțiune suplimentară. Ce trebuie să faceți în ziua studiului. • este necesar să te prezinți cu un rezultat al analizelor de sânge, uree și creatinină, nu mai vechi de 30 de zile. Nu toate laxative sunt potrivite pentru a se pregăti pentru un covor rmn abdominal.. Pregătirea pentru rmn abdominal cu substanță de contrast nu este diferită de procedura standard, fără un agent de contrast.

În cazul în care sunteţi constipat(ă), luaţi 4 pastile de ciocolax sau orice alt laxativ, cu o …. Ce trebuie să faceți în ziua studiului. • este necesar să te prezinți cu un rezultat al analizelor de sânge, uree și creatinină, nu mai vechi de 30 de zile. Nu este necesară nicio acțiune suplimentară. • în cazul în care ai alergii (ce pot declanșa șocul anafilactic, edemul glotic) este obligatoriu consultul Pregătirea pentru rmn abdominal cu substanță de contrast nu este diferită de procedura standard, fără un agent de contrast. Dacă ai dispozitive medicale metalice implantate (stimulator cardiac, defibrilator cardiac implantabil, proteză articulară metalică, implanturi cohleare, valve cardiace artificiale, schije sau orice fragment metalic), nu vei putea să efectuezi investigația pentru că riști ca acestea să fie afectate.. Ce trebuie să faceți în ziua studiului.

Cu 4 ore înainte de programare, nu mâncați. În cazul în care pacientul suferă de constipație, puteți face o curățare ajunul clismă sau de a lua laxative. Dacă ai dispozitive medicale metalice implantate (stimulator cardiac, defibrilator cardiac implantabil, proteză articulară metalică, implanturi cohleare, valve cardiace artificiale, schije sau orice fragment metalic), nu vei putea să efectuezi investigația pentru că riști ca acestea să fie afectate. Nu toate laxative sunt potrivite pentru a se pregăti pentru un covor rmn abdominal. Cu 4 ore înainte de programare, nu mâncați. Nu este necesară nicio acțiune suplimentară. • este necesar să te prezinți cu un rezultat al analizelor de sânge, uree și creatinină, nu mai vechi de 30 de zile. În cazul în care sunteţi constipat(ă), luaţi 4 pastile de ciocolax sau orice alt laxativ, cu o …. Dacă ai dispozitive medicale metalice implantate (stimulator cardiac, defibrilator cardiac implantabil, proteză articulară metalică, implanturi cohleare, valve cardiace artificiale, schije sau orice fragment metalic), nu vei putea să efectuezi investigația pentru că riști ca acestea să fie afectate.

Nu toate laxative sunt potrivite pentru a se pregăti pentru un covor rmn abdominal. • este necesar să te prezinți cu un rezultat al analizelor de sânge, uree și creatinină, nu mai vechi de 30 de zile. Ce trebuie să faceți în ziua studiului. În cazul în care pacientul suferă de constipație, puteți face o curățare ajunul clismă sau de a lua laxative. Cu 4 ore înainte de programare, nu mâncați. • în cazul în care ai alergii (ce pot declanșa șocul anafilactic, edemul glotic) este obligatoriu consultul Nu este necesară nicio acțiune suplimentară. În cazul în care sunteţi constipat(ă), luaţi 4 pastile de ciocolax sau orice alt laxativ, cu o … Pregătirea pentru rmn abdominal cu substanță de contrast nu este diferită de procedura standard, fără un agent de contrast. Nu toate laxative sunt potrivite pentru a se pregăti pentru un covor rmn abdominal. Dacă ai dispozitive medicale metalice implantate (stimulator cardiac, defibrilator cardiac implantabil, proteză articulară metalică, implanturi cohleare, valve cardiace artificiale, schije sau orice fragment metalic), nu vei putea să efectuezi investigația pentru că riști ca acestea să fie afectate.. În cazul în care pacientul suferă de constipație, puteți face o curățare ajunul clismă sau de a lua laxative.
În cazul în care pacientul suferă de constipație, puteți face o curățare ajunul clismă sau de a lua laxative. Ce trebuie să faceți în ziua studiului. • în cazul în care ai alergii (ce pot declanșa șocul anafilactic, edemul glotic) este obligatoriu consultul Nu toate laxative sunt potrivite pentru a se pregăti pentru un covor rmn abdominal. Dacă ai dispozitive medicale metalice implantate (stimulator cardiac, defibrilator cardiac implantabil, proteză articulară metalică, implanturi cohleare, valve cardiace artificiale, schije sau orice fragment metalic), nu vei putea să efectuezi investigația pentru că riști ca acestea să fie afectate. În cazul în care sunteţi constipat(ă), luaţi 4 pastile de ciocolax sau orice alt laxativ, cu o … În cazul în care pacientul suferă de constipație, puteți face o curățare ajunul clismă sau de a lua laxative. • este necesar să te prezinți cu un rezultat al analizelor de sânge, uree și creatinină, nu mai vechi de 30 de zile. Nu este necesară nicio acțiune suplimentară. Pregătirea pentru rmn abdominal cu substanță de contrast nu este diferită de procedura standard, fără un agent de contrast. Cu 4 ore înainte de programare, nu mâncați. În cazul în care pacientul suferă de constipație, puteți face o curățare ajunul clismă sau de a lua laxative.

• este necesar să te prezinți cu un rezultat al analizelor de sânge, uree și creatinină, nu mai vechi de 30 de zile. . • în cazul în care ai alergii (ce pot declanșa șocul anafilactic, edemul glotic) este obligatoriu consultul

În cazul în care sunteţi constipat(ă), luaţi 4 pastile de ciocolax sau orice alt laxativ, cu o … . Nu toate laxative sunt potrivite pentru a se pregăti pentru un covor rmn abdominal.
Ce trebuie să faceți în ziua studiului... Cu 4 ore înainte de programare, nu mâncați. În cazul în care pacientul suferă de constipație, puteți face o curățare ajunul clismă sau de a lua laxative. Ce trebuie să faceți în ziua studiului. • este necesar să te prezinți cu un rezultat al analizelor de sânge, uree și creatinină, nu mai vechi de 30 de zile. Nu este necesară nicio acțiune suplimentară. • în cazul în care ai alergii (ce pot declanșa șocul anafilactic, edemul glotic) este obligatoriu consultul În cazul în care sunteţi constipat(ă), luaţi 4 pastile de ciocolax sau orice alt laxativ, cu o …

În cazul în care pacientul suferă de constipație, puteți face o curățare ajunul clismă sau de a lua laxative.. • este necesar să te prezinți cu un rezultat al analizelor de sânge, uree și creatinină, nu mai vechi de 30 de zile. Ce trebuie să faceți în ziua studiului. Cu 4 ore înainte de programare, nu mâncați. Nu toate laxative sunt potrivite pentru a se pregăti pentru un covor rmn abdominal. • în cazul în care ai alergii (ce pot declanșa șocul anafilactic, edemul glotic) este obligatoriu consultul Nu este necesară nicio acțiune suplimentară. Pregătirea pentru rmn abdominal cu substanță de contrast nu este diferită de procedura standard, fără un agent de contrast.

Ce trebuie să faceți în ziua studiului.. Nu este necesară nicio acțiune suplimentară. Dacă ai dispozitive medicale metalice implantate (stimulator cardiac, defibrilator cardiac implantabil, proteză articulară metalică, implanturi cohleare, valve cardiace artificiale, schije sau orice fragment metalic), nu vei putea să efectuezi investigația pentru că riști ca acestea să fie afectate. În cazul în care sunteţi constipat(ă), luaţi 4 pastile de ciocolax sau orice alt laxativ, cu o … Ce trebuie să faceți în ziua studiului. Nu toate laxative sunt potrivite pentru a se pregăti pentru un covor rmn abdominal. În cazul în care pacientul suferă de constipație, puteți face o curățare ajunul clismă sau de a lua laxative. Cu 4 ore înainte de programare, nu mâncați.. Nu este necesară nicio acțiune suplimentară.

Nu toate laxative sunt potrivite pentru a se pregăti pentru un covor rmn abdominal. În cazul în care pacientul suferă de constipație, puteți face o curățare ajunul clismă sau de a lua laxative. Ce trebuie să faceți în ziua studiului. • în cazul în care ai alergii (ce pot declanșa șocul anafilactic, edemul glotic) este obligatoriu consultul Ce trebuie să faceți în ziua studiului.

Dacă ai dispozitive medicale metalice implantate (stimulator cardiac, defibrilator cardiac implantabil, proteză articulară metalică, implanturi cohleare, valve cardiace artificiale, schije sau orice fragment metalic), nu vei putea să efectuezi investigația pentru că riști ca acestea să fie afectate. • este necesar să te prezinți cu un rezultat al analizelor de sânge, uree și creatinină, nu mai vechi de 30 de zile. Cu 4 ore înainte de programare, nu mâncați... Nu toate laxative sunt potrivite pentru a se pregăti pentru un covor rmn abdominal.

Nu este necesară nicio acțiune suplimentară. • în cazul în care ai alergii (ce pot declanșa șocul anafilactic, edemul glotic) este obligatoriu consultul Nu toate laxative sunt potrivite pentru a se pregăti pentru un covor rmn abdominal. Dacă ai dispozitive medicale metalice implantate (stimulator cardiac, defibrilator cardiac implantabil, proteză articulară metalică, implanturi cohleare, valve cardiace artificiale, schije sau orice fragment metalic), nu vei putea să efectuezi investigația pentru că riști ca acestea să fie afectate. Ce trebuie să faceți în ziua studiului. În cazul în care sunteţi constipat(ă), luaţi 4 pastile de ciocolax sau orice alt laxativ, cu o ….. Cu 4 ore înainte de programare, nu mâncați.

• în cazul în care ai alergii (ce pot declanșa șocul anafilactic, edemul glotic) este obligatoriu consultul. .. Nu toate laxative sunt potrivite pentru a se pregăti pentru un covor rmn abdominal.

În cazul în care sunteţi constipat(ă), luaţi 4 pastile de ciocolax sau orice alt laxativ, cu o … • în cazul în care ai alergii (ce pot declanșa șocul anafilactic, edemul glotic) este obligatoriu consultul Cu 4 ore înainte de programare, nu mâncați. În cazul în care pacientul suferă de constipație, puteți face o curățare ajunul clismă sau de a lua laxative. Nu toate laxative sunt potrivite pentru a se pregăti pentru un covor rmn abdominal. În cazul în care sunteţi constipat(ă), luaţi 4 pastile de ciocolax sau orice alt laxativ, cu o … • este necesar să te prezinți cu un rezultat al analizelor de sânge, uree și creatinină, nu mai vechi de 30 de zile. Dacă ai dispozitive medicale metalice implantate (stimulator cardiac, defibrilator cardiac implantabil, proteză articulară metalică, implanturi cohleare, valve cardiace artificiale, schije sau orice fragment metalic), nu vei putea să efectuezi investigația pentru că riști ca acestea să fie afectate. Pregătirea pentru rmn abdominal cu substanță de contrast nu este diferită de procedura standard, fără un agent de contrast. Ce trebuie să faceți în ziua studiului.. În cazul în care pacientul suferă de constipație, puteți face o curățare ajunul clismă sau de a lua laxative.

Pregătirea pentru rmn abdominal cu substanță de contrast nu este diferită de procedura standard, fără un agent de contrast. Nu toate laxative sunt potrivite pentru a se pregăti pentru un covor rmn abdominal. • în cazul în care ai alergii (ce pot declanșa șocul anafilactic, edemul glotic) este obligatoriu consultul Pregătirea pentru rmn abdominal cu substanță de contrast nu este diferită de procedura standard, fără un agent de contrast. • este necesar să te prezinți cu un rezultat al analizelor de sânge, uree și creatinină, nu mai vechi de 30 de zile. În cazul în care sunteţi constipat(ă), luaţi 4 pastile de ciocolax sau orice alt laxativ, cu o … Cu 4 ore înainte de programare, nu mâncați. Nu este necesară nicio acțiune suplimentară. În cazul în care pacientul suferă de constipație, puteți face o curățare ajunul clismă sau de a lua laxative. Dacă ai dispozitive medicale metalice implantate (stimulator cardiac, defibrilator cardiac implantabil, proteză articulară metalică, implanturi cohleare, valve cardiace artificiale, schije sau orice fragment metalic), nu vei putea să efectuezi investigația pentru că riști ca acestea să fie afectate. Ce trebuie să faceți în ziua studiului.. În cazul în care sunteţi constipat(ă), luaţi 4 pastile de ciocolax sau orice alt laxativ, cu o …
Cu 4 ore înainte de programare, nu mâncați.. Nu este necesară nicio acțiune suplimentară. Ce trebuie să faceți în ziua studiului. În cazul în care sunteţi constipat(ă), luaţi 4 pastile de ciocolax sau orice alt laxativ, cu o … Nu toate laxative sunt potrivite pentru a se pregăti pentru un covor rmn abdominal. • este necesar să te prezinți cu un rezultat al analizelor de sânge, uree și creatinină, nu mai vechi de 30 de zile. Cu 4 ore înainte de programare, nu mâncați. Pregătirea pentru rmn abdominal cu substanță de contrast nu este diferită de procedura standard, fără un agent de contrast. În cazul în care pacientul suferă de constipație, puteți face o curățare ajunul clismă sau de a lua laxative. Dacă ai dispozitive medicale metalice implantate (stimulator cardiac, defibrilator cardiac implantabil, proteză articulară metalică, implanturi cohleare, valve cardiace artificiale, schije sau orice fragment metalic), nu vei putea să efectuezi investigația pentru că riști ca acestea să fie afectate. • în cazul în care ai alergii (ce pot declanșa șocul anafilactic, edemul glotic) este obligatoriu consultul Ce trebuie să faceți în ziua studiului.

Dacă ai dispozitive medicale metalice implantate (stimulator cardiac, defibrilator cardiac implantabil, proteză articulară metalică, implanturi cohleare, valve cardiace artificiale, schije sau orice fragment metalic), nu vei putea să efectuezi investigația pentru că riști ca acestea să fie afectate. Cu 4 ore înainte de programare, nu mâncați. În cazul în care pacientul suferă de constipație, puteți face o curățare ajunul clismă sau de a lua laxative. • este necesar să te prezinți cu un rezultat al analizelor de sânge, uree și creatinină, nu mai vechi de 30 de zile. În cazul în care sunteţi constipat(ă), luaţi 4 pastile de ciocolax sau orice alt laxativ, cu o … Dacă ai dispozitive medicale metalice implantate (stimulator cardiac, defibrilator cardiac implantabil, proteză articulară metalică, implanturi cohleare, valve cardiace artificiale, schije sau orice fragment metalic), nu vei putea să efectuezi investigația pentru că riști ca acestea să fie afectate. • în cazul în care ai alergii (ce pot declanșa șocul anafilactic, edemul glotic) este obligatoriu consultul Pregătirea pentru rmn abdominal cu substanță de contrast nu este diferită de procedura standard, fără un agent de contrast. Ce trebuie să faceți în ziua studiului. Nu este necesară nicio acțiune suplimentară. Nu toate laxative sunt potrivite pentru a se pregăti pentru un covor rmn abdominal. Nu este necesară nicio acțiune suplimentară.

În cazul în care pacientul suferă de constipație, puteți face o curățare ajunul clismă sau de a lua laxative... • este necesar să te prezinți cu un rezultat al analizelor de sânge, uree și creatinină, nu mai vechi de 30 de zile. Cu 4 ore înainte de programare, nu mâncați. În cazul în care sunteţi constipat(ă), luaţi 4 pastile de ciocolax sau orice alt laxativ, cu o … Nu este necesară nicio acțiune suplimentară. Nu toate laxative sunt potrivite pentru a se pregăti pentru un covor rmn abdominal.
:format(jpg):quality(80)/www.economica.net/wp-content/uploads/2012/08/aparat_rmn_56889100-420x420.jpg)
Nu este necesară nicio acțiune suplimentară. În cazul în care pacientul suferă de constipație, puteți face o curățare ajunul clismă sau de a lua laxative. Ce trebuie să faceți în ziua studiului. • în cazul în care ai alergii (ce pot declanșa șocul anafilactic, edemul glotic) este obligatoriu consultul În cazul în care sunteţi constipat(ă), luaţi 4 pastile de ciocolax sau orice alt laxativ, cu o … Nu este necesară nicio acțiune suplimentară. • este necesar să te prezinți cu un rezultat al analizelor de sânge, uree și creatinină, nu mai vechi de 30 de zile. Dacă ai dispozitive medicale metalice implantate (stimulator cardiac, defibrilator cardiac implantabil, proteză articulară metalică, implanturi cohleare, valve cardiace artificiale, schije sau orice fragment metalic), nu vei putea să efectuezi investigația pentru că riști ca acestea să fie afectate. În cazul în care sunteţi constipat(ă), luaţi 4 pastile de ciocolax sau orice alt laxativ, cu o …

Dacă ai dispozitive medicale metalice implantate (stimulator cardiac, defibrilator cardiac implantabil, proteză articulară metalică, implanturi cohleare, valve cardiace artificiale, schije sau orice fragment metalic), nu vei putea să efectuezi investigația pentru că riști ca acestea să fie afectate. În cazul în care sunteţi constipat(ă), luaţi 4 pastile de ciocolax sau orice alt laxativ, cu o … Dacă ai dispozitive medicale metalice implantate (stimulator cardiac, defibrilator cardiac implantabil, proteză articulară metalică, implanturi cohleare, valve cardiace artificiale, schije sau orice fragment metalic), nu vei putea să efectuezi investigația pentru că riști ca acestea să fie afectate. • este necesar să te prezinți cu un rezultat al analizelor de sânge, uree și creatinină, nu mai vechi de 30 de zile. • în cazul în care ai alergii (ce pot declanșa șocul anafilactic, edemul glotic) este obligatoriu consultul Ce trebuie să faceți în ziua studiului. Pregătirea pentru rmn abdominal cu substanță de contrast nu este diferită de procedura standard, fără un agent de contrast.. Ce trebuie să faceți în ziua studiului.
Nu este necesară nicio acțiune suplimentară.. Dacă ai dispozitive medicale metalice implantate (stimulator cardiac, defibrilator cardiac implantabil, proteză articulară metalică, implanturi cohleare, valve cardiace artificiale, schije sau orice fragment metalic), nu vei putea să efectuezi investigația pentru că riști ca acestea să fie afectate. Pregătirea pentru rmn abdominal cu substanță de contrast nu este diferită de procedura standard, fără un agent de contrast. Cu 4 ore înainte de programare, nu mâncați. Nu toate laxative sunt potrivite pentru a se pregăti pentru un covor rmn abdominal. Nu este necesară nicio acțiune suplimentară. • este necesar să te prezinți cu un rezultat al analizelor de sânge, uree și creatinină, nu mai vechi de 30 de zile. În cazul în care sunteţi constipat(ă), luaţi 4 pastile de ciocolax sau orice alt laxativ, cu o … Pregătirea pentru rmn abdominal cu substanță de contrast nu este diferită de procedura standard, fără un agent de contrast.

Cu 4 ore înainte de programare, nu mâncați. Pregătirea pentru rmn abdominal cu substanță de contrast nu este diferită de procedura standard, fără un agent de contrast. Nu este necesară nicio acțiune suplimentară... În cazul în care sunteţi constipat(ă), luaţi 4 pastile de ciocolax sau orice alt laxativ, cu o …

Nu este necesară nicio acțiune suplimentară.. În cazul în care pacientul suferă de constipație, puteți face o curățare ajunul clismă sau de a lua laxative. Ce trebuie să faceți în ziua studiului. În cazul în care sunteţi constipat(ă), luaţi 4 pastile de ciocolax sau orice alt laxativ, cu o … Cu 4 ore înainte de programare, nu mâncați. Nu toate laxative sunt potrivite pentru a se pregăti pentru un covor rmn abdominal. Nu este necesară nicio acțiune suplimentară. Dacă ai dispozitive medicale metalice implantate (stimulator cardiac, defibrilator cardiac implantabil, proteză articulară metalică, implanturi cohleare, valve cardiace artificiale, schije sau orice fragment metalic), nu vei putea să efectuezi investigația pentru că riști ca acestea să fie afectate. • este necesar să te prezinți cu un rezultat al analizelor de sânge, uree și creatinină, nu mai vechi de 30 de zile.. • este necesar să te prezinți cu un rezultat al analizelor de sânge, uree și creatinină, nu mai vechi de 30 de zile.
:format(jpg):quality(80)/www.economica.net/wp-content/uploads/2012/08/aparat_rmn_56889100-420x420.jpg)
Cu 4 ore înainte de programare, nu mâncați. Nu este necesară nicio acțiune suplimentară... Nu toate laxative sunt potrivite pentru a se pregăti pentru un covor rmn abdominal.

• este necesar să te prezinți cu un rezultat al analizelor de sânge, uree și creatinină, nu mai vechi de 30 de zile.. • în cazul în care ai alergii (ce pot declanșa șocul anafilactic, edemul glotic) este obligatoriu consultul În cazul în care sunteţi constipat(ă), luaţi 4 pastile de ciocolax sau orice alt laxativ, cu o … Ce trebuie să faceți în ziua studiului. Pregătirea pentru rmn abdominal cu substanță de contrast nu este diferită de procedura standard, fără un agent de contrast. În cazul în care pacientul suferă de constipație, puteți face o curățare ajunul clismă sau de a lua laxative. Dacă ai dispozitive medicale metalice implantate (stimulator cardiac, defibrilator cardiac implantabil, proteză articulară metalică, implanturi cohleare, valve cardiace artificiale, schije sau orice fragment metalic), nu vei putea să efectuezi investigația pentru că riști ca acestea să fie afectate. • este necesar să te prezinți cu un rezultat al analizelor de sânge, uree și creatinină, nu mai vechi de 30 de zile. Cu 4 ore înainte de programare, nu mâncați... Nu este necesară nicio acțiune suplimentară.

• este necesar să te prezinți cu un rezultat al analizelor de sânge, uree și creatinină, nu mai vechi de 30 de zile.. . Nu este necesară nicio acțiune suplimentară.

Cu 4 ore înainte de programare, nu mâncați.. Ce trebuie să faceți în ziua studiului. Cu 4 ore înainte de programare, nu mâncați. În cazul în care pacientul suferă de constipație, puteți face o curățare ajunul clismă sau de a lua laxative. Dacă ai dispozitive medicale metalice implantate (stimulator cardiac, defibrilator cardiac implantabil, proteză articulară metalică, implanturi cohleare, valve cardiace artificiale, schije sau orice fragment metalic), nu vei putea să efectuezi investigația pentru că riști ca acestea să fie afectate. Pregătirea pentru rmn abdominal cu substanță de contrast nu este diferită de procedura standard, fără un agent de contrast. Nu toate laxative sunt potrivite pentru a se pregăti pentru un covor rmn abdominal. În cazul în care sunteţi constipat(ă), luaţi 4 pastile de ciocolax sau orice alt laxativ, cu o …. Pregătirea pentru rmn abdominal cu substanță de contrast nu este diferită de procedura standard, fără un agent de contrast.

• în cazul în care ai alergii (ce pot declanșa șocul anafilactic, edemul glotic) este obligatoriu consultul • este necesar să te prezinți cu un rezultat al analizelor de sânge, uree și creatinină, nu mai vechi de 30 de zile. Ce trebuie să faceți în ziua studiului. Nu este necesară nicio acțiune suplimentară. În cazul în care sunteţi constipat(ă), luaţi 4 pastile de ciocolax sau orice alt laxativ, cu o … Nu toate laxative sunt potrivite pentru a se pregăti pentru un covor rmn abdominal. Dacă ai dispozitive medicale metalice implantate (stimulator cardiac, defibrilator cardiac implantabil, proteză articulară metalică, implanturi cohleare, valve cardiace artificiale, schije sau orice fragment metalic), nu vei putea să efectuezi investigația pentru că riști ca acestea să fie afectate. Pregătirea pentru rmn abdominal cu substanță de contrast nu este diferită de procedura standard, fără un agent de contrast. Cu 4 ore înainte de programare, nu mâncați. • în cazul în care ai alergii (ce pot declanșa șocul anafilactic, edemul glotic) este obligatoriu consultul În cazul în care pacientul suferă de constipație, puteți face o curățare ajunul clismă sau de a lua laxative.. În cazul în care pacientul suferă de constipație, puteți face o curățare ajunul clismă sau de a lua laxative.

• este necesar să te prezinți cu un rezultat al analizelor de sânge, uree și creatinină, nu mai vechi de 30 de zile. • în cazul în care ai alergii (ce pot declanșa șocul anafilactic, edemul glotic) este obligatoriu consultul Ce trebuie să faceți în ziua studiului. Cu 4 ore înainte de programare, nu mâncați. Dacă ai dispozitive medicale metalice implantate (stimulator cardiac, defibrilator cardiac implantabil, proteză articulară metalică, implanturi cohleare, valve cardiace artificiale, schije sau orice fragment metalic), nu vei putea să efectuezi investigația pentru că riști ca acestea să fie afectate. În cazul în care pacientul suferă de constipație, puteți face o curățare ajunul clismă sau de a lua laxative. Pregătirea pentru rmn abdominal cu substanță de contrast nu este diferită de procedura standard, fără un agent de contrast. Nu este necesară nicio acțiune suplimentară. • este necesar să te prezinți cu un rezultat al analizelor de sânge, uree și creatinină, nu mai vechi de 30 de zile. În cazul în care sunteţi constipat(ă), luaţi 4 pastile de ciocolax sau orice alt laxativ, cu o … Nu toate laxative sunt potrivite pentru a se pregăti pentru un covor rmn abdominal.. Nu este necesară nicio acțiune suplimentară.

Dacă ai dispozitive medicale metalice implantate (stimulator cardiac, defibrilator cardiac implantabil, proteză articulară metalică, implanturi cohleare, valve cardiace artificiale, schije sau orice fragment metalic), nu vei putea să efectuezi investigația pentru că riști ca acestea să fie afectate... .. În cazul în care pacientul suferă de constipație, puteți face o curățare ajunul clismă sau de a lua laxative.

Dacă ai dispozitive medicale metalice implantate (stimulator cardiac, defibrilator cardiac implantabil, proteză articulară metalică, implanturi cohleare, valve cardiace artificiale, schije sau orice fragment metalic), nu vei putea să efectuezi investigația pentru că riști ca acestea să fie afectate. • în cazul în care ai alergii (ce pot declanșa șocul anafilactic, edemul glotic) este obligatoriu consultul Nu toate laxative sunt potrivite pentru a se pregăti pentru un covor rmn abdominal. Pregătirea pentru rmn abdominal cu substanță de contrast nu este diferită de procedura standard, fără un agent de contrast. În cazul în care sunteţi constipat(ă), luaţi 4 pastile de ciocolax sau orice alt laxativ, cu o … Nu este necesară nicio acțiune suplimentară. Cu 4 ore înainte de programare, nu mâncați. Ce trebuie să faceți în ziua studiului. • este necesar să te prezinți cu un rezultat al analizelor de sânge, uree și creatinină, nu mai vechi de 30 de zile. Dacă ai dispozitive medicale metalice implantate (stimulator cardiac, defibrilator cardiac implantabil, proteză articulară metalică, implanturi cohleare, valve cardiace artificiale, schije sau orice fragment metalic), nu vei putea să efectuezi investigația pentru că riști ca acestea să fie afectate... Ce trebuie să faceți în ziua studiului.

Ce trebuie să faceți în ziua studiului. Dacă ai dispozitive medicale metalice implantate (stimulator cardiac, defibrilator cardiac implantabil, proteză articulară metalică, implanturi cohleare, valve cardiace artificiale, schije sau orice fragment metalic), nu vei putea să efectuezi investigația pentru că riști ca acestea să fie afectate.
În cazul în care sunteţi constipat(ă), luaţi 4 pastile de ciocolax sau orice alt laxativ, cu o ….. Nu toate laxative sunt potrivite pentru a se pregăti pentru un covor rmn abdominal. În cazul în care pacientul suferă de constipație, puteți face o curățare ajunul clismă sau de a lua laxative... Pregătirea pentru rmn abdominal cu substanță de contrast nu este diferită de procedura standard, fără un agent de contrast.

Cu 4 ore înainte de programare, nu mâncați. Nu este necesară nicio acțiune suplimentară. În cazul în care sunteţi constipat(ă), luaţi 4 pastile de ciocolax sau orice alt laxativ, cu o … Nu toate laxative sunt potrivite pentru a se pregăti pentru un covor rmn abdominal. • în cazul în care ai alergii (ce pot declanșa șocul anafilactic, edemul glotic) este obligatoriu consultul Nu toate laxative sunt potrivite pentru a se pregăti pentru un covor rmn abdominal.

În cazul în care sunteţi constipat(ă), luaţi 4 pastile de ciocolax sau orice alt laxativ, cu o … Nu este necesară nicio acțiune suplimentară. Ce trebuie să faceți în ziua studiului. • este necesar să te prezinți cu un rezultat al analizelor de sânge, uree și creatinină, nu mai vechi de 30 de zile. În cazul în care sunteţi constipat(ă), luaţi 4 pastile de ciocolax sau orice alt laxativ, cu o … Cu 4 ore înainte de programare, nu mâncați. Pregătirea pentru rmn abdominal cu substanță de contrast nu este diferită de procedura standard, fără un agent de contrast. Dacă ai dispozitive medicale metalice implantate (stimulator cardiac, defibrilator cardiac implantabil, proteză articulară metalică, implanturi cohleare, valve cardiace artificiale, schije sau orice fragment metalic), nu vei putea să efectuezi investigația pentru că riști ca acestea să fie afectate. • în cazul în care ai alergii (ce pot declanșa șocul anafilactic, edemul glotic) este obligatoriu consultul.. Dacă ai dispozitive medicale metalice implantate (stimulator cardiac, defibrilator cardiac implantabil, proteză articulară metalică, implanturi cohleare, valve cardiace artificiale, schije sau orice fragment metalic), nu vei putea să efectuezi investigația pentru că riști ca acestea să fie afectate.

În cazul în care sunteţi constipat(ă), luaţi 4 pastile de ciocolax sau orice alt laxativ, cu o … Cu 4 ore înainte de programare, nu mâncați. Nu este necesară nicio acțiune suplimentară. Ce trebuie să faceți în ziua studiului. • în cazul în care ai alergii (ce pot declanșa șocul anafilactic, edemul glotic) este obligatoriu consultul Nu toate laxative sunt potrivite pentru a se pregăti pentru un covor rmn abdominal. Dacă ai dispozitive medicale metalice implantate (stimulator cardiac, defibrilator cardiac implantabil, proteză articulară metalică, implanturi cohleare, valve cardiace artificiale, schije sau orice fragment metalic), nu vei putea să efectuezi investigația pentru că riști ca acestea să fie afectate. • este necesar să te prezinți cu un rezultat al analizelor de sânge, uree și creatinină, nu mai vechi de 30 de zile. Pregătirea pentru rmn abdominal cu substanță de contrast nu este diferită de procedura standard, fără un agent de contrast. În cazul în care pacientul suferă de constipație, puteți face o curățare ajunul clismă sau de a lua laxative. În cazul în care sunteţi constipat(ă), luaţi 4 pastile de ciocolax sau orice alt laxativ, cu o …. Dacă ai dispozitive medicale metalice implantate (stimulator cardiac, defibrilator cardiac implantabil, proteză articulară metalică, implanturi cohleare, valve cardiace artificiale, schije sau orice fragment metalic), nu vei putea să efectuezi investigația pentru că riști ca acestea să fie afectate.

În cazul în care pacientul suferă de constipație, puteți face o curățare ajunul clismă sau de a lua laxative. În cazul în care pacientul suferă de constipație, puteți face o curățare ajunul clismă sau de a lua laxative. Dacă ai dispozitive medicale metalice implantate (stimulator cardiac, defibrilator cardiac implantabil, proteză articulară metalică, implanturi cohleare, valve cardiace artificiale, schije sau orice fragment metalic), nu vei putea să efectuezi investigația pentru că riști ca acestea să fie afectate. Ce trebuie să faceți în ziua studiului. • în cazul în care ai alergii (ce pot declanșa șocul anafilactic, edemul glotic) este obligatoriu consultul Nu este necesară nicio acțiune suplimentară. În cazul în care sunteţi constipat(ă), luaţi 4 pastile de ciocolax sau orice alt laxativ, cu o … Pregătirea pentru rmn abdominal cu substanță de contrast nu este diferită de procedura standard, fără un agent de contrast. În cazul în care sunteţi constipat(ă), luaţi 4 pastile de ciocolax sau orice alt laxativ, cu o …

Nu toate laxative sunt potrivite pentru a se pregăti pentru un covor rmn abdominal. • este necesar să te prezinți cu un rezultat al analizelor de sânge, uree și creatinină, nu mai vechi de 30 de zile.

În cazul în care sunteţi constipat(ă), luaţi 4 pastile de ciocolax sau orice alt laxativ, cu o …. • în cazul în care ai alergii (ce pot declanșa șocul anafilactic, edemul glotic) este obligatoriu consultul Pregătirea pentru rmn abdominal cu substanță de contrast nu este diferită de procedura standard, fără un agent de contrast.. Nu toate laxative sunt potrivite pentru a se pregăti pentru un covor rmn abdominal.

Ce trebuie să faceți în ziua studiului. În cazul în care pacientul suferă de constipație, puteți face o curățare ajunul clismă sau de a lua laxative. Ce trebuie să faceți în ziua studiului. Cu 4 ore înainte de programare, nu mâncați. Pregătirea pentru rmn abdominal cu substanță de contrast nu este diferită de procedura standard, fără un agent de contrast. • este necesar să te prezinți cu un rezultat al analizelor de sânge, uree și creatinină, nu mai vechi de 30 de zile. În cazul în care sunteţi constipat(ă), luaţi 4 pastile de ciocolax sau orice alt laxativ, cu o … Dacă ai dispozitive medicale metalice implantate (stimulator cardiac, defibrilator cardiac implantabil, proteză articulară metalică, implanturi cohleare, valve cardiace artificiale, schije sau orice fragment metalic), nu vei putea să efectuezi investigația pentru că riști ca acestea să fie afectate. • în cazul în care ai alergii (ce pot declanșa șocul anafilactic, edemul glotic) este obligatoriu consultul Nu toate laxative sunt potrivite pentru a se pregăti pentru un covor rmn abdominal.

Nu este necesară nicio acțiune suplimentară. . Nu este necesară nicio acțiune suplimentară.

Ce trebuie să faceți în ziua studiului. În cazul în care sunteţi constipat(ă), luaţi 4 pastile de ciocolax sau orice alt laxativ, cu o … • în cazul în care ai alergii (ce pot declanșa șocul anafilactic, edemul glotic) este obligatoriu consultul În cazul în care pacientul suferă de constipație, puteți face o curățare ajunul clismă sau de a lua laxative. Nu toate laxative sunt potrivite pentru a se pregăti pentru un covor rmn abdominal. Dacă ai dispozitive medicale metalice implantate (stimulator cardiac, defibrilator cardiac implantabil, proteză articulară metalică, implanturi cohleare, valve cardiace artificiale, schije sau orice fragment metalic), nu vei putea să efectuezi investigația pentru că riști ca acestea să fie afectate. • este necesar să te prezinți cu un rezultat al analizelor de sânge, uree și creatinină, nu mai vechi de 30 de zile. Pregătirea pentru rmn abdominal cu substanță de contrast nu este diferită de procedura standard, fără un agent de contrast. Ce trebuie să faceți în ziua studiului.. Pregătirea pentru rmn abdominal cu substanță de contrast nu este diferită de procedura standard, fără un agent de contrast.

Cu 4 ore înainte de programare, nu mâncați. Cu 4 ore înainte de programare, nu mâncați. Dacă ai dispozitive medicale metalice implantate (stimulator cardiac, defibrilator cardiac implantabil, proteză articulară metalică, implanturi cohleare, valve cardiace artificiale, schije sau orice fragment metalic), nu vei putea să efectuezi investigația pentru că riști ca acestea să fie afectate. În cazul în care sunteţi constipat(ă), luaţi 4 pastile de ciocolax sau orice alt laxativ, cu o … • în cazul în care ai alergii (ce pot declanșa șocul anafilactic, edemul glotic) este obligatoriu consultul Nu este necesară nicio acțiune suplimentară. • este necesar să te prezinți cu un rezultat al analizelor de sânge, uree și creatinină, nu mai vechi de 30 de zile.

• în cazul în care ai alergii (ce pot declanșa șocul anafilactic, edemul glotic) este obligatoriu consultul • în cazul în care ai alergii (ce pot declanșa șocul anafilactic, edemul glotic) este obligatoriu consultul Ce trebuie să faceți în ziua studiului. Nu toate laxative sunt potrivite pentru a se pregăti pentru un covor rmn abdominal. În cazul în care pacientul suferă de constipație, puteți face o curățare ajunul clismă sau de a lua laxative. Dacă ai dispozitive medicale metalice implantate (stimulator cardiac, defibrilator cardiac implantabil, proteză articulară metalică, implanturi cohleare, valve cardiace artificiale, schije sau orice fragment metalic), nu vei putea să efectuezi investigația pentru că riști ca acestea să fie afectate. • este necesar să te prezinți cu un rezultat al analizelor de sânge, uree și creatinină, nu mai vechi de 30 de zile. Nu este necesară nicio acțiune suplimentară. Cu 4 ore înainte de programare, nu mâncați. În cazul în care sunteţi constipat(ă), luaţi 4 pastile de ciocolax sau orice alt laxativ, cu o … Pregătirea pentru rmn abdominal cu substanță de contrast nu este diferită de procedura standard, fără un agent de contrast. În cazul în care sunteţi constipat(ă), luaţi 4 pastile de ciocolax sau orice alt laxativ, cu o …

Dacă ai dispozitive medicale metalice implantate (stimulator cardiac, defibrilator cardiac implantabil, proteză articulară metalică, implanturi cohleare, valve cardiace artificiale, schije sau orice fragment metalic), nu vei putea să efectuezi investigația pentru că riști ca acestea să fie afectate. Cu 4 ore înainte de programare, nu mâncați. În cazul în care pacientul suferă de constipație, puteți face o curățare ajunul clismă sau de a lua laxative. • este necesar să te prezinți cu un rezultat al analizelor de sânge, uree și creatinină, nu mai vechi de 30 de zile. Pregătirea pentru rmn abdominal cu substanță de contrast nu este diferită de procedura standard, fără un agent de contrast. Dacă ai dispozitive medicale metalice implantate (stimulator cardiac, defibrilator cardiac implantabil, proteză articulară metalică, implanturi cohleare, valve cardiace artificiale, schije sau orice fragment metalic), nu vei putea să efectuezi investigația pentru că riști ca acestea să fie afectate. Ce trebuie să faceți în ziua studiului. Nu este necesară nicio acțiune suplimentară. • în cazul în care ai alergii (ce pot declanșa șocul anafilactic, edemul glotic) este obligatoriu consultul. Ce trebuie să faceți în ziua studiului.

Nu toate laxative sunt potrivite pentru a se pregăti pentru un covor rmn abdominal. Nu este necesară nicio acțiune suplimentară. Ce trebuie să faceți în ziua studiului. Cu 4 ore înainte de programare, nu mâncați. În cazul în care sunteţi constipat(ă), luaţi 4 pastile de ciocolax sau orice alt laxativ, cu o … Pregătirea pentru rmn abdominal cu substanță de contrast nu este diferită de procedura standard, fără un agent de contrast.